
An eye with shallow anterior chamber and narrow angles captured by anterior-segment swept-source OCT. Image courtesy of Prof Clement Tham from Department of Ophthalmology and Visual Sciences, The Chinese University of Hong Kong.

An eye with peripheral anterior synechia (PAS) captured by anterior-segment swept-source OCT. Image courtesy of Prof Clement Tham from Department of Ophthalmology and Visual Sciences, The Chinese University of Hong Kong.

An eye with diabetic macular edema captured by florescence angiography. Image courtesy of Dr Carol Cheung from Department of Ophthalmology and Visual Sciences, The Chinese University of Hong Kong.

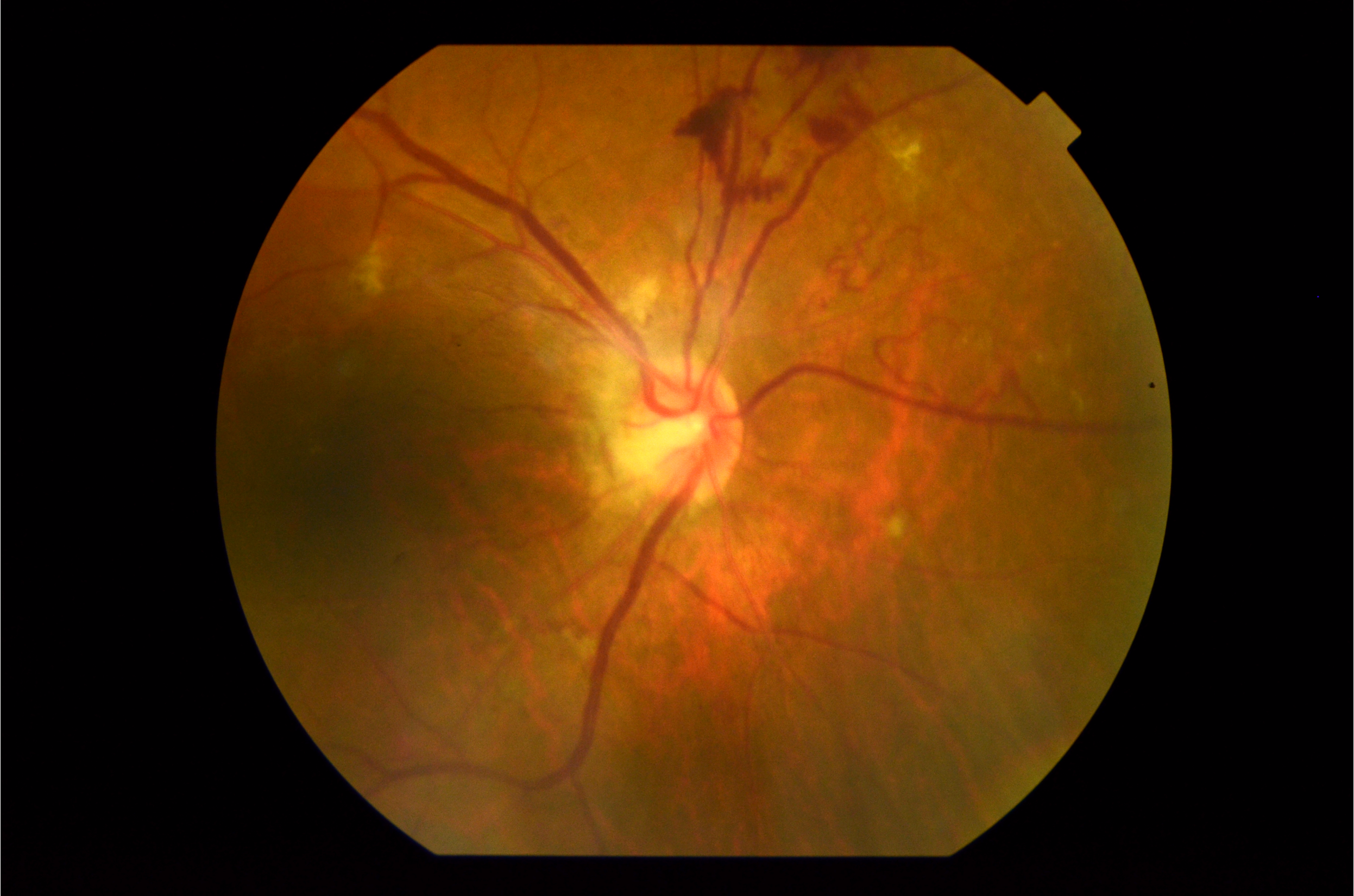
An eye with nonproliferative diabetic retinopathy captured by fundus photography. Image courtesy of Dr Carol Cheung from Department of Ophthalmology and Visual Sciences, The Chinese University of Hong Kong.

An eye with proliferative diabetic retinopathy captured by fundus photography. Image courtesy of Dr Carol Cheung from Department of Ophthalmology and Visual Sciences, The Chinese University of Hong Kong.

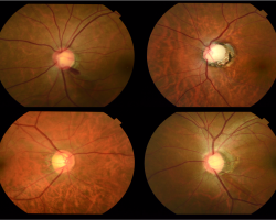
Eyes with glaucoma captured by fundus photography. Image courtesy of Dr Carol Y. Cheung from Department of Ophthalmology and Visual Sciences, The Chinese University of Hong Kong.

An eye with diabetic macular edema captured by spectral-domain OCT. Image courtesy of Dr Carol Y. Cheung from Department of Ophthalmology and Visual Sciences, The Chinese University of Hong Kong.

An eye with epiretinal membrane captured by spectral-domain OCT. Image courtesy of Dr Carol Y. Cheung from Department of Ophthalmology and Visual Sciences, The Chinese University of Hong Kong.

An eye with diabetic macular edema captured by spectral-domain OCT. Image courtesy of Dr Carol Y. Cheung from Department of Ophthalmology and Visual Sciences, The Chinese University of Hong Kong.

Damage in superficial capillary plexus in eyes with DR captured by optical coherence tomography angiography. Image courtesy of Dr Carol Y. Cheung from Department of Ophthalmology and Visual Sciences, The Chinese University of Hong Kong.

Quantitative optical coherence tomography angiography analysis to study DR severity. Image courtesy of Dr Carol Y. Cheung from Department of Ophthalmology and Visual Sciences, The Chinese University of Hong Kong.

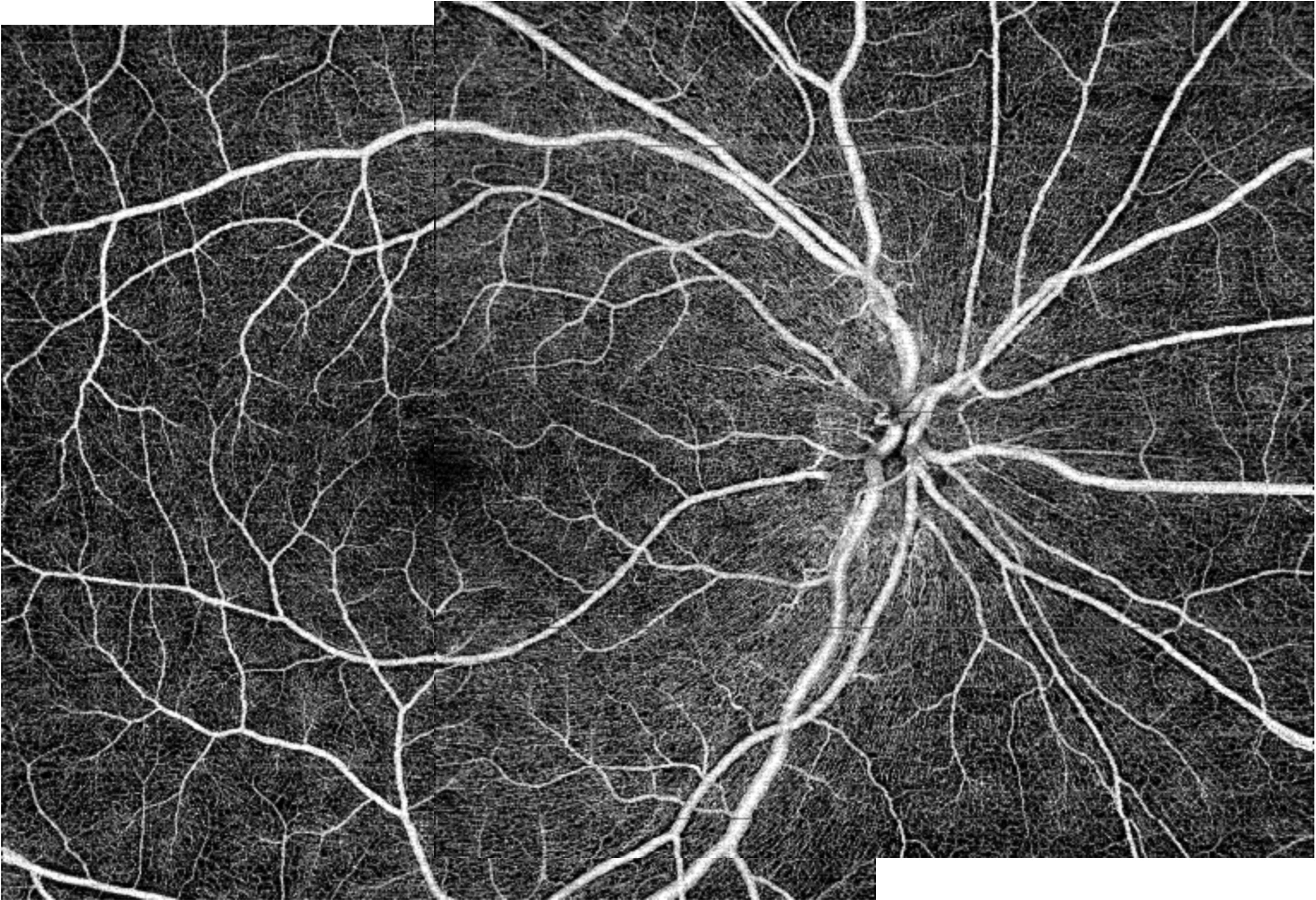
Wide-field optical coherence tomography angiography. Image courtesy of Dr Carol Y. Cheung from Department of Ophthalmology and Visual Sciences, The Chinese University of Hong Kong.

Quantitative retinal vasculature analysis using Singapore I Vessel Assessment (SIVA) software. Image courtesy of Dr Carol Y. Cheung from Department of Ophthalmology and Visual Sciences, The Chinese University of Hong Kong.

Laser scar after photocoagulation in an eye with diabetic retinopathy capture by ultra-widefield retinal imaging. Image courtesy of Dr Carol Y. Cheung from Department of Ophthalmology and Visual Sciences, The Chinese University of Hong Kong.

Automatic segmentation and extraction of ocular blood vessels from fundus and conjunctival images with automatic analysis of vessel morphology and blood flow parameters. Image courtesy of Prof. Jin YUAN from Zhongshan Ophthalmic Center, Sun Yat-sen University.

En face cellular images of in vivo human retinal layers acquired by novel Full-filed Optical Coherence Tomography without applying adaptive optics for wavefront correction. Image courtesy of Prof. Peng XIAO from Zhongshan Ophthalmic Center, Sun Yat-sen University.

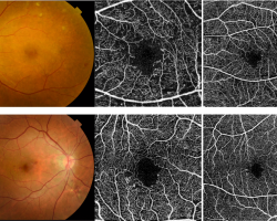
Panomap of overlap combined with OCT retinal thickness and OCT angiography of healthy eye. Image courtesy of Dr Henry SL Chen from Department of Ophthalmology, Chang Gung Memorial Hospital, Taiwan.

Capillary dropout of glaucoma retinal nerve fiber layer defect of OCT angiography. Image courtesy of Dr Henry SL Chen from Department of Ophthalmology, Chang Gung Memorial Hospital, Taiwan.

The nautilus shell appearance of glaucoma OCT macular ganglion cell-inner plexiform layer image. Image courtesy of Dr Henry SL Chen from Department of Ophthalmology, Chang Gung Memorial Hospital, Taiwan.

Slitlamp microscopy and anterior segment OCT showed circular wrinkles and splitting appearance of the anterior lens capsule, with an attached floating flap waving in the anterior chamber. Image courtesy of Dr Henry SL Chen from Department of Ophthalmology, Chang Gung Memorial Hospital, Taiwan.

Silicon oil droplets seen on the corneal endothelium. Image courtesy of Dr Kasi Sandhanam from Ocular Imaging Department, Singapore National Eye Center.

A dislocated IOL on the posterior pole. Image courtesy of Dr Kasi Sandhanam from Ocular Imaging Department, Singapore National Eye Center.

Corneal striae seen in keratoconus. Image courtesy of Dr Kasi Sandhanam from Ocular Imaging Department, Singapore National Eye Center.

En face and cross-sectional OCT of macula foveoschisis. Image courtesy of Dr Kasi Sandhanam from Ocular Imaging Department, Singapore National Eye Center.

An optic nerve melanocytoma. Image courtesy of Dr Kasi Sandhanam from Ocular Imaging Department, Singapore National Eye Center.

A drop of perfluorocarbon heavy liquid seen on the optic nerve. Image courtesy of Dr Kasi Sandhanam from Ocular Imaging Department, Singapore National Eye Center.






